医院动态
中富口腔:主页 > 医院动态 > >

牙齿矫正案例(五)

作者:admin发布时间:2018-03-19 15:38浏览次数:

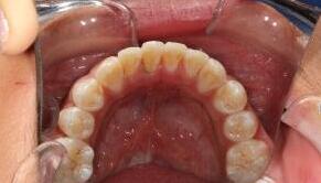
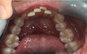
  Celina,女,来自英国

  现病史:上颌前牙轻度外翻

  治疗方案:经过专业正畸医生检查后,制定陶瓷自锁托槽矫正方案。患者及家属同意矫正方案

  优势:兼具了美观与舒适的优势,同时也具备了自锁托槽的高效快速排齐、轻力无痛的特点

  

 

  五个月后牙齿排列整齐,患者表示满意!

推荐医生
福建省宁德市蕉城区宁川北路15-10号1-2层
免费电话:
0593-2872666
时间:
8:30-18:00

  • 微信公众号

  • 客服微信
8