牙齿矫正案例分析:
姓名:小李
年龄:21岁
牙齿问题:下前牙轻度拥挤,上颌前突
治疗方案:牙齿正畸
病例详细情况:
小李大学生活即将结束,快要进入实习阶段了,对此她有一个顾虑让她非常担心,因为小李的牙齿不争气,上颌前突,下牙拥挤(俗称龅牙),害怕出去面试的时候首先会扣了印象分。在朋友们的建议下,小李来到宁德中富口腔进行牙齿矫正治疗,希望能够在毕业前将自己的牙齿变得整整齐齐,漂漂亮亮的。

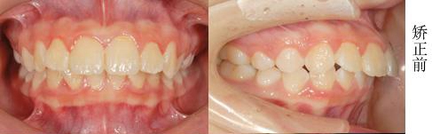
矫正前牙齿情况
制定正畸方案:
来院后,宁德中富口腔医生为小李进行口腔检查,发现小李上下牙齿轻度不齐,下前牙轻度拥挤,上颌前突;右侧后牙中性偏远中关系,左侧远中关系;深覆颌,深覆盖,需要拔牙进行矫正。与小李商量后,小李同意矫正方案,开始进行牙齿正畸治疗。

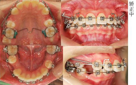
矫正中牙齿情况
治疗计划:
1、拔牙矫治,拔除四颗牙齿解除拥挤,内收前牙,改善面型
2、上颌种植支抗钉
3、压低上前牙,减轻露龈笑
4、调整咬合关系,恢复正常覆颌覆盖
治疗后小结:

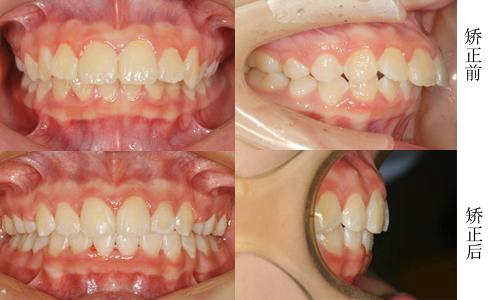
牙齿矫正前后对比图
如今小李正畸治疗已经结束,通过照片可以看出,小李通过正畸治疗后,牙齿得到了排齐,咬合也变的正常,最主要的是大大改善了前牙及嘴唇的突度,使脸型更为协调,效果很好,龅牙一去不复返了。毕业后小李也找到了合适的工作,正畸改变了她的生活。