刘女士,32岁
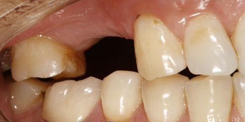
现病史:部分臼齿缺失,已经造成咬合不良,影响正常生活。
检查:口腔CT检查后,牙槽骨骨量较佳,适合种植牙处理。
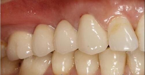
治疗计划:对缺失牙齿部位,行种植牙修复手术,刘女士表示同意。

种植牙前

种植牙后
种植牙是指在植入的人工牙根上镶装的假牙。先将与人体有良好生物相容性的种植体(即人工牙根),通过手术的方法植入缺牙部位的牙床上,经过一段时间待伤口愈合后,再在人工牙根上镶装义齿(假牙),修复缺失的牙齿。
种植牙适合人群有哪些
1 缺失一个牙、多个牙、全部缺牙的患者;
2 下颌全口缺牙时牙槽严重吸收,戴用传统全口假牙有困难,功能不好,戴不牢者;
3 戴用传统活动假牙固位差、无功能,粘膜不能耐受者;
4 对假牙的美观、功能有特殊要求者;
5 缺牙周围的余留牙有问题不能作传统假牙者。