医院动态
中富口腔:主页 > 医院动态 > >

牙齿不齐矫正案例(二)

作者:admin发布时间:2018-03-19 15:12浏览次数:

  患者:孙女士 年龄:17岁

  病史:诉1月来右上后牙冷热刺激疼痛不适,夜间疼痛加重,今来我院求诊治疗。

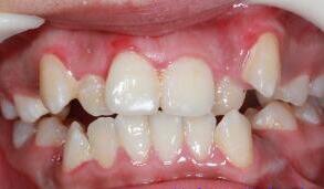
  检查:上下牙列不齐

  诊断:安氏Ⅰ类

  治疗方案:建议全口拔牙矫正,孙女士表示同意并配合。

  

 

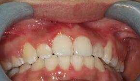
  矫正前

  

 

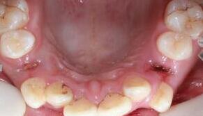
  拔牙后

  

 

  矫正后

推荐医生
福建省宁德市蕉城区宁川北路15-10号1-2层
免费电话:
0593-2872666
时间:
8:30-18:00

  • 微信公众号

  • 客服微信
8