患者情况:患者朱先生,46岁,长期吸烟史,患有严重的牙周病,人到中年牙齿便不断缺失,严重影响面部美观。近期口内余留牙明显松动,无法正常进食,经朋友介绍,到宁德中富口腔就诊,希望寻求到理想治疗方式。
治疗方案:宁德中富口腔的种植医生通过系统的口腔检查,诊断朱先生为重度牙周病及上下牙列缺损。朱先生自述,无既往病史,有对金属过敏经历。

拟定制治疗计划:保留左上3和右上3,拔除其余牙齿,采用种植牙的方式进行修复。上颌综合条件较好,采用即拔即种的种植方式,下颌条件稍差,因炎症而使骨缺损严重,故决定三个月后再进行种植。与患者协商后,患者接受该治疗方案。
种植技术:韩国3D微创仿生种植
种植过程:

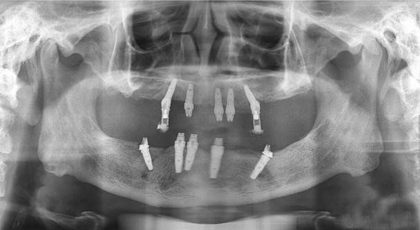
先将下颌牙齿拔除,恢复十天后,进行上颌牙齿种植修复。上颌牙齿采用韩国3D微创仿生种植技术,即拔即种,完成左上1、4、5、7及右上1、4、5、7,共植入8颗种植体。韩国3D微创仿生种植系统的种植体材料有别于现有种植体材料,率先采用五级纯钛,不会对人体产生任何金属过敏现象及副作用,与人体相容性远高于现有四级纯钛种植体。
下颌拔牙3个月后,虽骨密度较低,但已经达到种植标准,在左下3、6、及右下3辅以人工植骨,并在左下3、4、6、7及右下3、4、6、7同期植入8颗种植体,
三个月后,朱先生来院复查,种植体与骨结合良好,无任何金属过敏反应及副作用,连接愈合基台。
一周后,取全口印模,进行牙体预备
上下颌烤瓷冠修复,使患者恢复了正常的咀嚼功能,外观得到明显的改善,朱先生对修复效果十分满意。