医院动态
中富口腔:主页 > 医院动态 > >

单颗牙种植案例(三)

作者:admin发布时间:2018-03-19 16:32浏览次数:

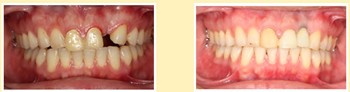
  患者:胡小姐

  来自:宁德市蕉城区

  年龄:38岁

  症状描述:牙齿发生龋病,拔出残根,导致单颗牙齿缺失

  就诊时间:2018年1月在宁德中富口腔种牙

  治疗方案:铒激光辅助种植牙

  38岁的胡小姐从小就爱吃甜食,致使牙齿发生龋齿,后来因为难以忍受蛀牙的疼痛,直接将蛀牙残根拔出。现在牙齿缺失,使胡小姐的笑容显得十分的尴尬。经朋友的介绍,来到了宁德中富口腔所做人工种植牙齿。检查之后,主治医师和胡小姐商量之后选定铒激光辅助种植牙进行牙齿修复。

  

 

  种植修复单颗牙齿缺失前后对比图

推荐医生
福建省宁德市蕉城区宁川北路15-10号1-2层
免费电话:
0593-2872666
时间:
8:30-18:00

  • 微信公众号

  • 客服微信
8