姓名:小丁
年纪:25岁
牙齿问题:左下后牙缺失1年,要求种植
治疗方案:种植牙修复
病例详细情况:
小丁,今年25岁,左下后牙单颗缺失,通过网络了解了种植牙无需破坏两边好牙,而且使用还和自己牙差不多,于是她很心动的来咨询了种植修复。
治疗方案:
宁德中富口腔医生为其设计治疗方案,经诊断患者单牙缺失,缺牙间隙高度大于7mm,除了牙齿稍有不齐外,其他牙齿尚佳。通过口腔全景片检查,确定小丁的牙槽骨密度符合种植体植入的要求,根据患者情况及要求制定微创种植计划。

种植术后全景片、即时照片

3个月后,牙龈愈合良好,袖口长的相当好

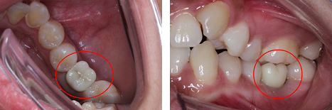
戴牙后照片
本次手术由于采用了微创种植技术,所以手术过程中出血非常少,对患者牙龈和牙槽骨组织起到最大的保护作用,术后患者只需用冰袋冷敷,预防肿胀,并不需要服用抗炎药物。医生表示手术很成功,约三个月后植体上部牙冠戴入,即缺牙区二期修复,同时两侧好牙未遭到任何损坏。