Search
网站首页
关于中富
诊疗项目
医生团队
真实案例
中富公益
联系我们
咨询挂号
口腔种植
牙齿修复
牙齿正畸
牙周治疗
儿童齿科
综合齿科
医院动态
中富口腔:
主页
>
医院动态
> >
牙齿矫正案例(二)
作者:admin
发布时间:2018-03-19 14:53
浏览次数:
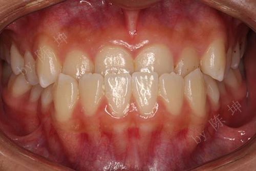
性别:女
年龄:16
主治医生:周海燕
所在门诊:宁德中富口腔
主诉:地包天
治疗方案:牙齿矫正
术前
术后
现在咨询
在线预约
爱牙热线/ 0593-2872666
上一篇:
牙齿矫正案例(一)
下一篇:
牙齿矫正案例(四)
分享到:
QQ空间
新浪微博
腾讯微博
人人网
微信
相关文章
牙齿矫正案例(八)
牙齿矫正案例(七)
单颗牙种植案例(七)
单颗牙种植案例(六)
种植牙修复案例(四)
全口即刻种植案例(三)
全口即刻种植案例(四)
单颗牙种植案例(四)
单颗牙种植案例(五)
多颗牙种植案例(四)
推荐医生
林挺华
口腔医生
在线咨询
立即预约
王琳勇
口腔医生
在线咨询
立即预约
谢晓婷
口腔医生
在线咨询
立即预约
杨登
口腔医生
在线咨询
立即预约
杨顺
口腔医生
在线咨询
立即预约
周海燕
口腔医生
在线咨询
立即预约
福建省宁德市蕉城区宁川北路15-10号1-2层
免费电话:
0593-2872666
时间:
8:30-18:00
在线咨询
微信公众号
客服微信