氟斑牙很多患者还是很了解的,氟斑牙又叫斑釉,大多认为与饮用水中氟含量过高有关。氟斑牙有时候比牙齿缺失还可怕,会严重影响健康、美观,很多患者甚至因为氟斑牙不敢开口说话,氟斑牙对患者造成了心理上的负担和伤害。氟斑牙有那么可怕吗?氟斑牙的临床诊断比较简单,氟斑牙多具有典型的临床表现,诊断并不困难。

氟斑牙病因
饮用水中氟含量过高引起的牙齿疾病。饮水、饮食、地方性氟中毒、使用含氟牙膏、空气污染、医源性氟中毒、工业性氟中毒等等以下7点。
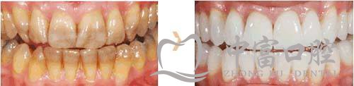
氟斑牙是一种牙齿呈黄色的症状,十分影响我们人的美观,很多人都患有氟斑牙,还不知道氟斑牙会有这三大临床表现:
1.轻型氟斑牙
也称白垩型,表现为釉质表面像白色粉笔样、不透明斑块即白垩状斑块;其实很多氟斑牙患者大多是因为早期没有发现自己有轻型氟斑牙,因为症状比较不明显,所以后期导致了严重的氟斑牙。
2.中度氟斑牙
又称着色型,出现黄褐色或暗棕色斑块,上前牙最为明显;中度氟斑牙就比较明显了,如果发现自己的牙齿有黄褐色或暗棕色斑块,建议去医院检查治疗下。
3.重度氟斑牙
也称缺损型,多数牙甚至全口牙出现黄褐色斑块,同时有线状、点状或窝沟状缺损,凹陷内有较深的染色,牙面失去光泽。重度氟斑牙一定要重视,牙齿健康可能是身体的晴雨表。