氟斑牙很严重该怎么办?生 活 中,我们可以看到因为喜欢喝茶、喝咖啡或是抽烟的人,或多或少都会有一些牙齿变色的现象,而美白自然的牙齿是很多人追求 的美丽。中富口腔医师介绍,氟斑牙在临床上分为轻度、中度、重度三种现象,而颜色越重的话,一般来说,氟斑牙的程度也会比较重。看到满口的氟斑牙, 自信心瞬间下降了很多,如果想要重新拥有美白的牙齿,该如何处理这么严重的氟斑牙呢?

氟斑牙是怎么回事?
氟斑牙是色素牙的一种,中富口腔医师介绍,氟斑牙是色素牙的一种,牙齿呈黄色 损害,为慢性氟中毒早期在口腔的表现。氟斑牙具有地区性,是一种典 型的地方病。氟主要损害牙釉质发育期牙胚的造釉细胞,因此,过多的氟只有在牙发育矿化期进入机体,才能发生氟斑牙。若在6、7岁之前,长期居住在饮水中氟 含量高的流行区,即使日后迁往他处,也不能避免以后萌出的恒牙受累;反之则不出现氟斑牙

宁德中富口腔医师介绍,氟斑牙的临床症状表现如下
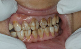
1、氟斑牙的特点。是在同一时期萌出的釉质上有白垩色到褐色的斑块,严重者还并发有釉质的实质缺损。临床上常按其轻、中、重度而分为白垩型(轻度)、变色型(中度)和缺损型(重度)三种类型:
轻度氟斑牙——牙面失去正常光泽,出现不透明斑块;
中度氟斑牙——牙面出现黄色、黄褐或棕褐色;
重度氟斑牙——除上述改变以外,牙面还出现浅窝或坑凹状缺损,或因磨损使牙失去正常外形。
2、氟斑牙多见于恒牙。
中富口腔医师告知,氟斑牙发生在乳牙者甚少,程度亦较轻。这是由于乳牙的发生分别在胚胎期和乳婴期,而胎盘对氟有一定的屏障作用。因此,氟牙症一般均见于恒牙,但如氟摄入量过多,超过其筛除功能的限度时,也能不规则地表现在乳牙上。
3、严重的慢性氟中毒患者。
可有骨骼的增殖性变化,骨膜、韧带等均可钙化,并从而产生腰、腿和全身关节症状。急性中毒症状为恶心、呕吐、腹泻等。由于血钙与氟结合,形成不溶性的氟化钙,引起肌痉挛、虚脱和呼吸困难,以致死亡。
可见,氟斑牙的危害性是非常强大的,特别是重度氟斑牙,要及时地到正规的医院做检查和治疗。
严重氟斑牙怎么办?
中富口腔医师介绍,严重的氟斑牙不仅有严重的着色,而且还会出现缺损,因而这样的情况,普通的牙齿美白是达不到理想的效果的,只能通过瓷贴面的方式才能够实现色泽与形态的双向改变。
瓷贴面美白,能针对重度氟斑牙的牙冠部分,进行科学的修整,然后用洁白的瓷贴面加以包裹修复,实现好的遮色的同时,还能够修复受损的牙釉质,保护牙齿。